Search
Contact
Advertise
Contribute
Login
Contact
Advertise
Contribute
Search
Subspecialities
Cataract
News
Events
Education Nav
Research Nav
Professional
Product Guide
ALADDIN
ANTERION
Eyestar 900 Eye Analyser
Lenstar 900 Biometer
Lenstar Myopia
OCULUS Myopia Master®
The Myopia Expert™ 700
Tomey OA-2000
ANTERION (1)
CSO Antares+
CSO MS-39 Anterior Segment OCT
CSO Osiris Aberrometer
CSO Sirius+ Scheimpflug
MYAH
OCULUS Keratograph 5M
Thomson Clinical Eye Tracker 5L
Thomson Hess Screen / BV Analyser
Keeler Vantage Plus Ophthalmoscope
Specialist ophthalmoscope & retinoscope set
Topcon supply the full range of Ocular Instruments lenses
Vantage Plus
Vantage Plus Digital
Henson 9000
iCare COMPASS Automated Fundus Perimetry
Kowa AP-7000
Octopus 900 Perimeter
Oculera Visual Field Analyser
Oculus Easyfield
Smart System® VR Headset perimeter
Takagi MT-325UD Projection Perimeter
Canon CR2-AF / CR-2 Plus AF
CR-10
Kowa Nonmyd WX3D
WRI-1 FROM CELLVIEW
BI 900 Slit Lamp
BQ 900 Slit Lamp & Imaging
BX 900 Slit Lamp
CSO SL99K Elite Slit Lamp
Keeler PSL Classic Portable Slit Lamp
SL-19 Portable Slit Lamp
SL-D301
SL-D701 with optional DC-4 & BG-5M
Takagi 700GL LED Slit Lamp Microscope
ZEISS SL 800 & 220 with Imaging Solutions
CellChek CC-20 Specular Microscope
CSO Perseus Specular Microscope
SP-1P Specular Microscope
Tomey Endothelium Specular Microscope EM-4000
Occuity PM1 Pachymeter
EasyTon plus Disposable Tonometer Prisms
Goldmann Applanation Tonometer
Hand-held applanation tonometer
Huvitz HTR-1A Auto Ref/Keratometer, Non-contact Tono/Pachymeter
iCare IC200 Tonometer
iCare ST500™ NEW Tonometer
Pachmate 2 Handheld Pachymeter
Perkins Mk 3 Applanation Tonometer
Reichert Ocular Response Analyser G3
Reichert® Tono-Vera® Tonometer
Tonosafe Disposable Prisms
TX-20P
4Sight
DGH Scanmate Flex – UBM / A-Scan / B-Scan
MD-1000A/P
MD-2300S
OCIGEL Coupling Gel
Quantel Medical Ultrasound
Tomey Modular A/B Scan System UD-800
CC-100/XP LCD 22” Chart
CV-5000PRO Phoropter
KR-1
KR-1W
KR-800PA
KR-800S
RK-F3m Full Auto Ref-Keratometer
SOLOS Lite
Thomson Near Chart
Thomson Test Charts
Thomson Virtual Synoptophore
TRK-3 OMNIA
3D OCT-1 Maestro2
ANTERION®
Canon Xephilio OCT-A1
DRI OCT Triton
Huvitz HOCT
iFusion80
iScan80 OCT
iVue80 OCT
OCULUS Pentacam® OCT
REVO OCT - Fundus Camera
Solix FullRange OCT
SPECTRALIS
Tomey Fourier Domain OCT CASIA2
Xephilio OCT-R1
Xephilio OCT-S1
ZEISS CIRRUS 6000
iCare DRSplus Fundus Imaging System
iCare EIDON True Colour Confocal Scanner
NW500
Revolutionize AMD Treatment with PBM Therapy
SPECTRALIS®
TRC-50DX
Volk Viva Fundus Camera
Cellularis - See the invisible
CX-1
Optos California
Optos Daytona
Optos MonacoPro
Optos Silverstone
ZEISS CLARUS 500 & 700
Harmony
HEYEX 2
RayPRO – PHIN Compliant PROMS
ZEISS FORUM
AEON PROTECT PLUS
AEON REPAIR
AEON SODIUM CHLORIDE 5%
EvoTears
EziDrops for Eyes
Golden Eye® Eye Infection Treatments
HYLO-DUAL INTENSE
HYLO-FORTE
HYLO-NIGHT
REMOGEN Omega
Viscotears Tri Action
VISMED and VISMED MULTI
VISMED® and VISMED® Multi
MonoBlue SafR
Pre-Filled Capsule Stain
Cryomatic MkII
Phakos
Corza Medical Hands-Free Gonio Lens
EIBOS 2 Disposable Lenses
eye-light®
F4H5 WashOut
Flouron Unique Range for VR Surgery
Gases, Silicone Oils, Heavy Liquids & Dyes
Ultra-Pure VR Oils, Gases & PFCLs
BIKA for DCR
Exclusive Glaucoma Products
KERARING Segments
Malhotra Platinum Lid Segments
MORCHER CTRs
Pre-loaded Capsular Tension Ring
Silicone Orbital Implants
Spiggle & Theis Chain Lid Implants
RayOne EMV
RayOne Galaxy
RayOne IOL range
Sulcoflex
Visiotis Progress range
ZEISS AT ELANA
EagleVision
Lacrivera Punctal Occlusion Systems
Painless Plug
iStent inject W
StopLoss™ Jones Tubes
BioLon & BioLon Prime OVDs
KXL is CXL
Balance Surgeon’s Chair
Genius - operating tables
HS-2010 examination unit
HS-810 refraction & examination unit
IS-1 Series / IS-100
IS-1D Instrument Stand
Takagi ST-50 Motorised Smart Table
Takagi UN-21 Fully Reclining Motorised Chair
UFSK 500XLE Surgical Chair
2RT
ALCON’s Direct SLT
AMARIS Excimer Lasers
ATOS femto laser
A.R.C. Diode Laser FOX 810 & Argon Laser FOX 514
Ellex Tango Reflex Neo
IRIDEX Cyclo G6™
IRIDEX family of ophthalmic lasers
Lightlas 532 ktp green frequency doubled YAG laser
Lightlas 810nm
Litechnica Selector SLT Laser
Lpulsa YAG Laser
Meridian MR Q SLT Laser
Meridian MR Q Supine Laser
Meridian MR Q YAG Laser
A.R.C. NanoLaser CETUS
Navilas Guided Retinal Laser
Norlase ECHO
Noralse LYNX
Optimus Fusion Trio
Pascal Synthesis™ Pattern Scanning Laser
Q-LAS-D DIODE pumped Nd: YAG Laser
Quantel Subcyclo 810nm Laser for Glaucoma
Quantel Yellow Sub-Threshold Easyret Laser
A.R.C. Slit lamp Lasers
TruScan Pro Multispot
Z8 femto laser, now with lenticules!
ZEISS VISULAS combi laser
Sophi - Swiss Ophthalmology Innovation
EIBOS 2
Hi-R NEO 900 Microscope
METIS Microscope
Microscope OMS-800
OMS-90 Manual Microscope Coaxial illumination
Takagi OM-19 High Performance LED Operating Microscope
ZEISS ARTEVO
ELIOS
GONIO ready
iTrack
iTrack Advance
OMNI® Surgical System
Altomed Instruments & Microwash
Duckworth & Kent
John Weiss Reusable Instruments
Reusable Ophthalmic Instruments
Reusable ophthalmic instruments and fully-customised instrument baskets
Yamane
Katena Reusable Ophthalmic Instruments
OCULUS BIOM 5
Bipolar, Forceps, Pencils & Cables
Blink Single Use Instruments
Capsulorhexis Forceps
Cornea Graft Trephines
Iris Expansion Simplified
Kai Medical - Japan Quality
Kerrison Rongeurs
LacriJet
Ophthalmic Cannula
Quality Sutures from Japan
Sharpoint Knives
SuperCut Iris Scissors
Ultimate sharpness from Japan
Vannas Scissors
Vitreoretinal Instruments
Westcott Scissors
Barron Corneal Devices
Cutting edge technology for all surgeons
Cutting edge technology
DMEK
FEATHER Surgical Blades & Scalpels
HASA - Premium Single-Use Recyclable Instruments
Premium single-use ophthalmic cannulas
Single Use Cannulas
Single use instruments
Single-use cannulas & handpieces, made in UK
Sterile, ready to use ophthalmic instruments
SteriSleeve Micro Caps
Surgitrac Instruments cataract procedure sets
Blink Single Use Custom Packs
CustomEyes® Personalised Pack-Building
Single use ophthalmic instruments and procedure packs
Sub Tenon Set
BIOM ready+
HD Disposable LenZ
MedOne Cannulas
MedOne MicroDose Injection Kit
Capsulorhexis practice eye
Eyesi Direct Ophthalmoscope
Eyesi Indirect Ophthalmoscope
Eyesi Indirect ROP
Eyesi Slit Lamp
Eyesi Surgical
Surgeon Developed Models
Video Teaching Systems
DRV
The Magazine
importDebug
Login
Search
Home
>
Subspecialities
Subspecialities
Filter by year
2025
2024
2023
2022
2021
2020
2019
2018
2017
2016
2015
2014
2013
Sort by
Newest First
Oldest First
Title: A to Z
Title: Z to A
Gagandeep Sachdeva
,
Kevin Thomas
,
Rehan Rajput
,
Mat Daniel
,
Katya Tambe
·
27th October 2021
Education
Case Reports
A rare neonatal presentation of bilateral dacryocele and choanal atresia
Jack Bradbury
,
Corrado Gizzi
,
Anant Sharma
·
1st December 2021
Education
Case Reports
Usefulness of gonioscopy to investigate cause of corneal oedema after cataract surgery
Annes Ahmeidat
,
Caroline Cobb
·
3rd June 2024
Education
Case Reports
Aqueous misdirection: a case series of unexpected surgical complications
Noorulain Khalid
,
Faizan Hashmi
,
Adam Riaz
,
Hadi Ziaei
,
Abha Gupta
·
3rd June 2024
Education
Case Reports
The challenge of chorioretinal folds in virtual eye clinics
Sagar Jobanputra
,
Marcela Bohn
·
3rd April 2024
Education
Case Reports
Acute macular neuroretinopathy
Prabakaran Selvaraj
,
Shery Thomas
,
Isabel Ash
,
Arun Lakshmanan
·
12th October 2023
Education
Case Reports
Unilateral central scotoma following dengue fever
Sarah E O’Beirne
,
Jennifer HY Tan
·
3rd April 2024
Education
Case Reports
Hidden eyelid laceration following blunt trauma
Kathryn O’Brien
,
Henry Z Lin
,
Anthony Vivian
·
2nd February 2024
Education
Case Reports
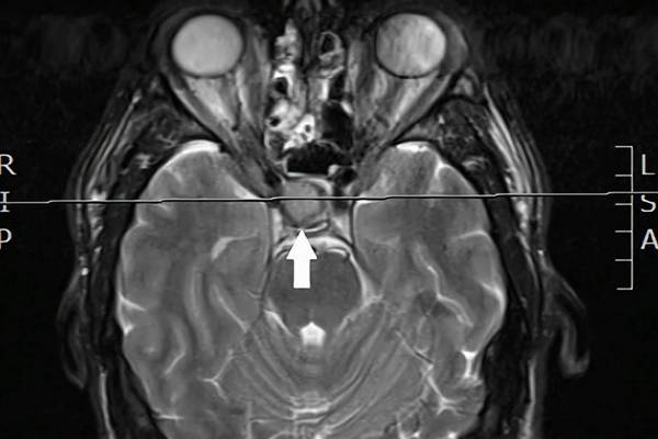
Photophobia: an unusual symptom of a pituitary macroadenoma
Paras Agarwal
,
Manoj Kulshrestha
·
2nd February 2024
Education
Case Reports
A unique case of macular burn from ‘toy’ laser
Soman Raman
,
Neda Qurashi
,
Qasim Mansoor
·
4th December 2023
Education
Case Reports
Bosch-Boonstro-Schaaff optic atrophy syndrome (BBSOAS) NR2F1 mutation
Prev
97
98
99
100
101
102
Next
×
UAT site